医療法人くす矯正歯科 HOME
>
スマイルダイアリー 一覧
>
見えない矯正
スマイルダイアリー
見えない矯正
11.06.09
こんにちは、京都市 矯正歯科 くす矯正歯科医院 です。
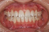
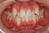
見えない矯正
というのは矯正していることが外からは見えません。
しかし歯並びは変わっていきます。
不思議ですね。