NEWS
POINT

初回カウンセリングを実施
矯正歯科について分からないこと、心配なことなどまずは初診相談で解決してください。

治療費が明確
当院の診察費は基本治療費に含まれており、治療費の総額は最初に提示しております。

治療費の分割払いが可能
クレジットカードやデンタルローン等、様々な支払方法を選択できます。

歯科用CTを導入
精度の高いレントゲンでより詳細で正確な診断が可能。矯正治療の精度を高めます。

夜7時まで、土曜日も診療
会社帰りに通院したい方や平日お忙しい方も安心です。

地下鉄四条駅より徒歩3分
京都市営地下鉄の四条駅から徒歩3分の利便性。会社帰りやショッピングのついでに通院したい方にも便利です。
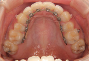
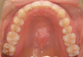
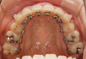
おすすめ矯正治療
※インビザラインは、完成物薬機法対象外の矯正歯科装置であり、承認薬品を対象とする医薬品副作用被害救済制度の対象外となる場合があります。








