ここまで進化した目立たない矯正装置で、
治療中も治療後も、素敵な笑顔でいられます。
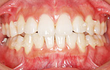
「矯正装置は目立つ」というイメージはありませんか?
いいえ、そのような心配はありません! 気付かれない矯正、そんな方法もあるのです。歯と同じ色のワイヤーを使った目立たない矯正装置、歯の裏側に装置を装着する目立たない矯正装置など、審美性の高い装置がたくさんあります。
くす矯正歯科では、「矯正装置が目立つのがイヤだ…」という 患者さまの声にお応えする、目立たない矯正治療を ご提案させていただいております。歯ならびは気になるけど、矯正装置が気になって治療への第一歩が なかなか踏み出せなかった皆さま、ぜひ一度くす矯正歯科医院へご相談ください。さまざまに進化した目立たない歯科矯正で、みなさまの輝く笑顔をつくるお手伝いをいたします。
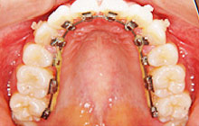
リンガルブラケット[ 歯の舌側につける目立たない矯正装置 ]
歯の唇側からではなく舌側から装置をつけて行う矯正歯科治療のことです。パッと見た限りでは装置が見えません。舌側矯正とも呼ばれており、誰にも気づかれずに矯正治療を進めることが可能です。
患者様の見た目に関するストレスが軽減され、人前で話す機会の多い職業の方や、容姿が気になる女性の方におすすめです。
コンビネーション[ 目立たない矯正 ]
上顎を舌側矯正、下顎を唇側からの矯正で、口元の美しさをそこなわず矯正治療ができます。
舌への刺激が少なく、舌側矯正よりも経済的です。装置が目立つことはほとんどありません。
マウスピース型矯正装置(インビザライン)
ホワイトワイヤー&セラミックブラケット[ 唇側の装置をより自然に ]
※ホワイトワイヤーは希望者のみ(ただし、使用不可の期間あり。)
通常、口の中に入れるワイヤーはステンレススチールやニッケルチタン製のシルバー色のもので、特にワイヤーが太くなると金属色が気になるという方が多いかと思います。
ホワイトワイヤーは歯となじみ目立ちにくいので、初めて装着される方にも見た目への抵抗が少なく、受け入れてもらいやすいです。



