KUSU ORTHODONTICS
075-352-8811
医療法人 くす矯正歯科
〒600-8415京都市下京区烏丸通松原上る因幡堂町713 井筒因幡堂町ビル4F
TEL:075-352-8811/FAX:075-352-8841
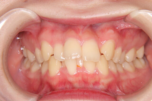
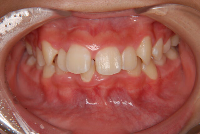
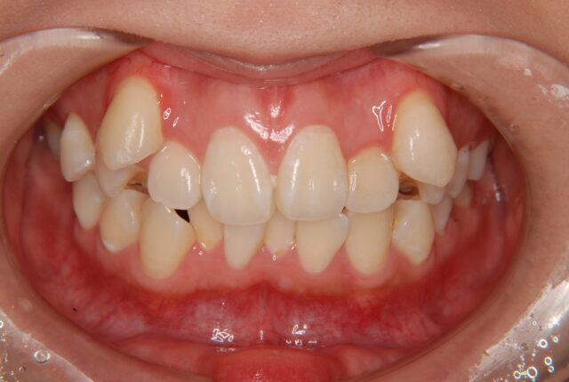
CASE
矯正治療の実際を、写真とともに分かりやすくご紹介します。
症例ごとに治療内容・期間・費用を掲載しており、治療後の変化を具体的にイメージしていただけます。ご自身の歯ならびに近い症例を参考に、治療の一歩を考えるきっかけにしてください。
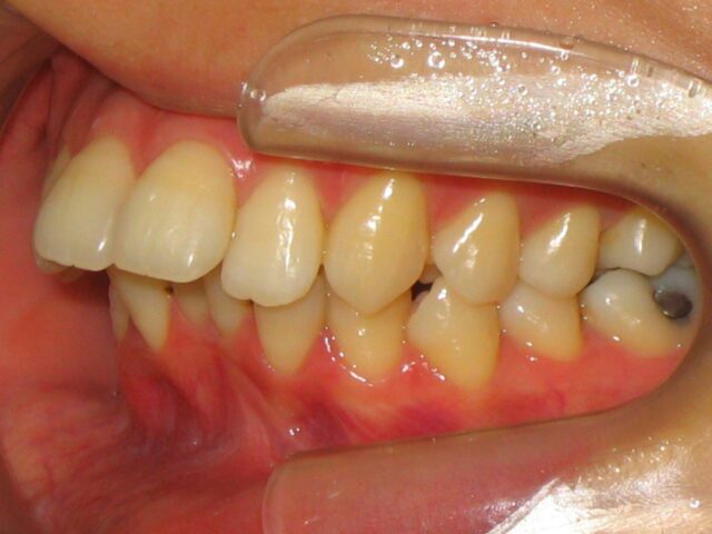
舌側矯正【目立たない矯正 】
舌側矯正
この治療例は、上下顎の左右第一小臼歯を抜歯して上下舌側からの矯正装置にて治療を行なった写真です。………続きを読む
コンビネーション【目立たない矯正】
コンビネーション
この治療例は、上顎第一小臼歯を抜歯して、上顎を舌側、下顎は唇側の矯正装置にて治療を行った写真です………続きを読む
取り外し可能なマウスピースでの治療
マウスピース矯正
この治療例は、上下顎ともに取り外し可能なマウスピース型の矯正装置にて治療を行った写真です。上下歯………続きを読む
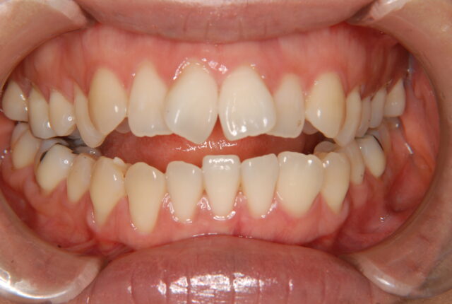
歯を抜いて口元を後退させた治療例
唇側矯正
この治療例は上下顎左右第一小臼歯を抜歯して、上下顎前歯を後退させた写真です。…続きを読む
ガタガタした歯ならびの治療例1【抜歯】
この治療例は、上下顎左右第一小臼歯と上顎左右第二大臼歯と下顎左右第三大臼歯を抜歯して、矯正治療を………続きを読む
ガタガタした歯ならびの治療例2【非抜歯】
この治療例は抜歯せずに、歯を少しだけ削って、矯正治療を行ない上下歯列のガタガタを改善した写真です………続きを読む
歯科矯正用アンカースクリューを用いた矯正治療
顎骨に矯正用のインプラントを植立して、歯牙を索引、移動させるための固定源にします。短期間に植立可………続きを読む
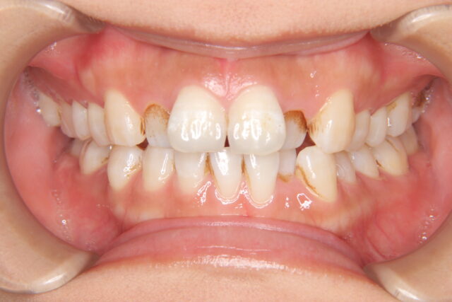
上顎前突(出っ歯)の治療例
この治療例は上下顎に唇側より矯正装置を装着して、上顎前歯を後退させた写真です。抜歯は行っていませ………続きを読む
反対咬合(受け口)の治療例【非抜歯】
この治療例は上下顎歯の唇側より矯正装置を装着して、反対咬合の改善を行った写真です。…続きを読む
休診日
診療日