- 医療法人くす矯正歯科 HOME >
- スマイルダイアリー 一覧 >
- ちょっと目立たない矯正
スマイルダイアリー
ちょっと目立たない矯正11.09.27


こんにちは、京都 矯正 くす矯正歯科医院 楠 です。
今日は目立たない矯正装置です。
上は裏側、下は表側の矯正装置です。
患者様の美しさをそこねず、矯正治療ができたと思います。
ほんとにおきれいです。


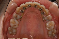
こんにちは、京都 矯正 くす矯正歯科医院 楠 です。
今日は目立たない矯正装置です。
上は裏側、下は表側の矯正装置です。
患者様の美しさをそこねず、矯正治療ができたと思います。
ほんとにおきれいです。