- 医療法人くす矯正歯科 HOME >
- スマイルダイアリー 一覧 >
- 私、見えない歯列矯正はじめました!
スマイルダイアリー
私、見えない歯列矯正はじめました!13.12.13
こんにちは。京都 矯正歯科 くす矯正歯科医院 歯科衛生士の岸です。
みなさん、もうすぐクリスマスですね。今年もあと少しです。
年々時が過ぎるのが早くなってる気がするのは私だけでしょうか?
さてさて、今日はついに!
私、岸も皆さんと同じく歯列矯正をはじめましたのでそのお話をさせていただこうと思います。
矯正装置には何種類かあるのですが私はインビザラインという
透明のマウスピースで歯列矯正をはじめることになりました。
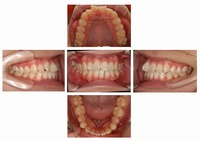
これは、今現在の私の口の中です。
前歯が捻じれていて少し歯がでているように見えますよね。
また、下の歯も真ん中があっていません。
前歯が捻じれていることがずっとわたしのコンプレックスだったので
ついに、治せるんだ!とすでに歯並びが治ったことを想像してワクワクしています。
インビザラインとはどんな装置?
インビザラインとは、透明で取り外しが可能なマウスピースを順次に装着することで
きれいな歯並びへと変化していく装置です。約2週間ごとに新しいものに交換していきます。
これが、インビザラインです。
本当に透明ですよね?
これを着けてみると・・・


矯正装置をつけているとは思いませんよね?
30センチも離れているとほとんど装置は気づかれません。
私は3日前からこの装置をつけはじめましたが、少し歯が締め付けられてるような
キツイ感じがあり、少し話しにくいです。また、歯が動く痛みというものがあり
ご飯を食べる時や装置の取り外しの際などに痛みがあります。
この痛みは、歯列矯正には絶対につきものなので慣れるしかありません。
今は矯正をはじめたばかりなので目に見える変化はまだありませんが
また、変化があればここに書かせて頂きますね!
これから皆さんと一緒に歯列矯正がんばろうと思いますので・・・頑張りましょう!!
そして、歯列矯正に少しでも興味のある方や矯正したいけど不安だなと悩んでいる方
是非!気軽にご相談に来てください。
スタッフ全員でお待ちしております。