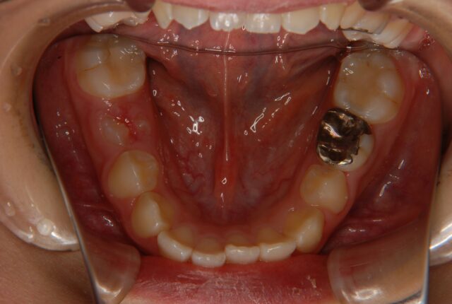
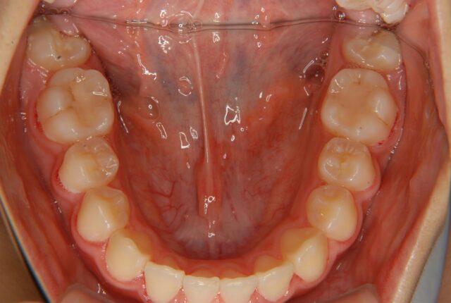
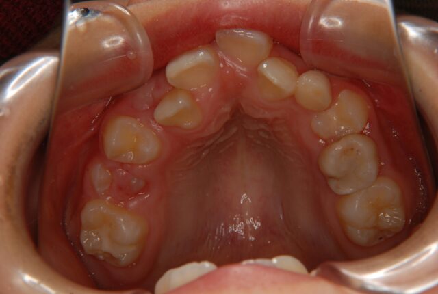
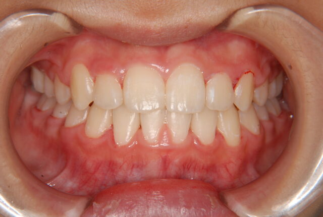
唇側矯正 小児矯正 反対咬合(受け口)の治療例【非抜歯】 この治療例は上下顎歯の唇側より矯正装置を装着して、反対咬合の改善を行った写真です。 治療前 治療後 主訴 受け口を治したい 診断名あるいは主な症状 下顎前突 年齢 10才 治療に用いた主な装置 唇側矯正装置 抜歯部位 非抜歯 治療期間 約2年 通院回数 24回 治療費概算 880,000円(税込) リスクと副作用 反対咬合を改善する時に上下の歯がぶつかり破折する可能性がある。下顎が後方に押し込まれ、顎関節に負担をかける可能性がある。